华讯小记者声明

生死之间 尽显医者仁心——长治二院普外一病区医护人员成功救治生命垂危患者

2023-12-21 18:56:10    来源:长治市第二人民医院订阅号    


医生,是生命的守护者,他们怀揣着对生命的敬畏,日复一日坚守在救死扶伤的岗位上,用仁心守护生命。有这么一支团队,他们用精湛医术呵护百姓健康,他们用顽强拼搏创造生命奇迹,他们用奉献坚守阐释医者仁心。他们为无数患者送去了健康,也为无数家庭送去了春天般的温暖。他们就是长治市第二人民医院普外科一病区刘利亭医师团队。

救死扶伤

妙手仁心显大爱

图片

图片

如今,各种现代化机器设备应用越来越广泛,为我们的生活带来了很多便利。然而,如果对机器操作不当或者没有认真看管,它也可能成为伤害我们的“凶手”。家住屯留区的吕先生,在工作中不慎被机器所伤,险些丧命。幸运的是,他被工友及时送到了长治市第二人民医院,经过普外科一病区刘利亭医师团队的全力抢救和精心治疗,将他从死亡线上拉了回来。现在的吕先生已经可以下地行走,身体正在逐步康复中。

据了解,事发当天,吕先生正在厂里忙碌着,突然他感觉身后有东西向他靠过来并且速度很快,还没来得及回头看清,自己已经被设备撞倒,并从身后压了过去,当时的吕先生清晰地听见自己的骨头被压断的声音。他用尽全部力气向工友呼喊求救,工友们听见呼喊赶忙跑过来停下了机器,并立刻将他送往医院抢救。

图片

术前造影右髂总动脉与腹主动脉交界处血管壁损伤

图片

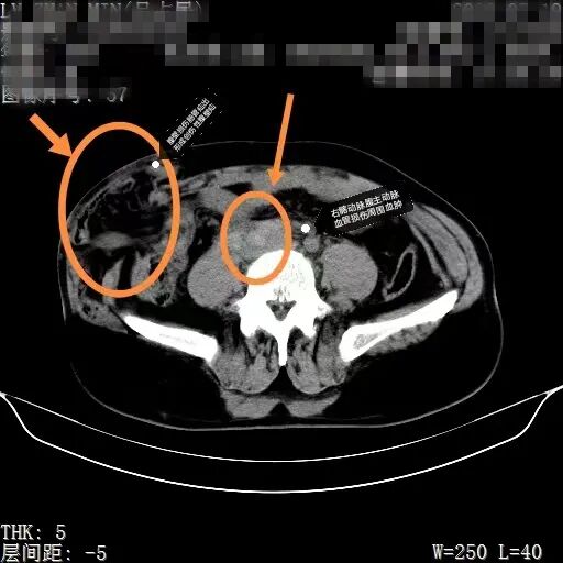
先行介入右侧髂动脉支架内隔绝术

来到市二院后,经过初步检查,吕先生被碾严重,肋骨骨折,腹壁肌肉断裂,肠管破裂,以及髋部、右臀部皮肤破裂受伤出血。CT检查中,还发现一个非常棘手的问题,右侧髂动脉与腹主动脉交界处有血肿,一旦破裂,就会有生命危险时间就是生命,普外一病区刘利亭主任当机立断,立即带领团队医护人员进入导管室,为吕先生实施侧髂动脉支架内隔绝术。在医护人员的不懈努力下,手术顺利完成。虽然拆掉了血肿这个最危险的“雷”,但吕先生的情况依然不容乐观。

图片

创伤性右侧腹壁疝疝出的肠管

图片

术中探查小肠部分空场回场血管断裂至血运障碍坏死,多处肠管破裂,约2米。

图片

右侧腹壁疝修补后

图片

臀部皮下组织及臀肌撕裂坏死

图片

术后的治疗病情趋向好转

根据吕先生的情况,刘利亭主任立即联合介入科、重症医学科、创伤骨科、输血科、麻醉科等多个科室的医护人员进行会诊,为其制定了科学详细的手术计划。手术成功挽回了吕先生的生命,但他的康复之路依然充满挑战。面对这一情况,刘利亭主任和他团队的医护人员并没有松懈,继续密切关注吕先生的康复情况,并为他制定了详细的康复计划。经过医护人员几个月的精心治疗和护理,吕先生的病情逐渐趋向好转。在手术几个月后,已经能下床自由活动,目前正在医院进行康复治疗。

医者承生命之重,必须匠心于行。在刘利亭主任的带领下,普外一病区的医护人员始终坚守医者仁心,在实践中探索并总结经验,不断勇攀技术高峰,全力以赴地救治患者。


保佑生命

贴心服务获赞者

图片

图片

“不断创新技术,不断攻坚克难,不断升级诊疗模式,只为更好地服务患者。”在普外科一病区全体医护人员心中,始终坚守着不忘初心,一路向前的理念,用自己的真情温暖患者,守护患者的生命健康。

对于吕先生这样伤情复杂的患者,护士长秦红燕和护士们要倾注更多的心血。“患者刚做完手术,但病情依然很危重,所以我们必须密切关注患者的生命体征,及时调整治疗方案。而且术后早期,患者只能俯卧,所以我们要常帮患者翻身、擦洗,给予精心的照护。”秦红燕对护士们说。“长期一个姿势卧床很容易生褥疮,但我老公身上一点儿也没有。非常感谢医护人员的精心照顾,她们对我们像对自己的家人一样,无微不至。”吕先生的妻子感激地说。无论是巡视病房,还是为患者换药、打针,护士们都能做到细心、耐心、贴心。她们会根据患者的病情和需求,制定个性化的护理方案,确保患者得到精心的护理。即使患者出院后,她们也会定期与患者家属沟通,了解其康复情况,提供全方位的支持。

当记者在特需病房看到吕先生时,他正在家人陪伴下休息,阳光从窗外照进来,室内暖意融融。刘利亭主任询问着吕先生的身体情况,嘱咐他在康复治疗中需要注意的事项。“多亏了刘主任的全力抢救,我才捡回了一条命,真的非常感谢他们!”

只要是刘利亭诊治过的患者,都会对他赞不绝口,没有不竖大拇指的。多年来,刘利亭带领团队医护人员救治过无数患者,并一直与患者保持着联系。在大大小小的手术台上,都留下了他与团队医护人员共同奋战的身影。他始终把“匠心、勇气、品德、仁术”作为自己行医的根本,并把“敬佑生命、救死扶伤、甘于奉献、大爱无疆”的仁心精神融入了医者传承。他是年轻医生学习的榜样,更是患者心中健康的“守护神”。

图片

无怨无悔

情系患者见初心

图片

图片


从事外科工作20多年的刘利亭,一直是医院的业务骨干。工作中的他,对医疗业务技术刻苦钻研、精益求精,先后在北京、上海、广州等地的知名三甲医院进修学习普外科疾病诊治及腹腔镜技术,在危急、重症患者的急救和疑难复杂疾病救治方面,积累了丰富的临床经验近年刘利亭带领团队医护人员成功开展了腹腔镜下经胆囊管胆道镜胆总管取石术、腹腔镜下胃结直肠癌根治术、腹腔镜下全脾切除术,填补了医院技术方面的空白。

医生,不仅是一份职业,更是一份责任和担当。提到普通外科,很多人第一时间就会想到一个字——累。因为病种范围广,病情复杂多变,且诊治难度大,手术时间长,令很多医学生望而却步。但刘利亭则选择不畏艰苦,迎难而上。他说:“作为一名医生,救死扶伤是我的天职。每当经历疑难手术,将患者从死亡边缘拉回来时,看到患者和家属感激的神情,我就会觉得自己多年的努力没有白费。”每一个期待的眼神,每一句感谢的话语,都时刻提醒着刘利亭要在技术上把握好尺度,要在服务上更有温度。面对出院患者及家属的感谢,他觉得,患者最应该感谢的是他们自己,正是因为有了他们毫无保留的信任,才让医生更有信心。也只有在医患双方的共同努力下,治疗才能取得最佳的效果。

着眼未来,长治二院普外科一病区将依托医院广阔平台,树立“以患者为中心”的服务理念,不断培养优秀人才,积极发挥发扬特色优势,用精湛的技术、赤诚的爱心和无私的奉献,竭尽全力为患者健康保驾护航。

图片



图片







学术前沿 | “长治市大疱性皮肤病诊疗新技术研讨班”在长治二院成功召开

倒计时 ▏长治二院皮肤科举行“大疱性皮肤病诊疗”研讨班 第三轮通知

健康科普 ▏住院期间,安全知识要牢记

重要医讯 ▏长治二院神经外科特邀北京天坛医院神经外科辛宇主任医师来院坐诊、手术

技术前沿 ▏长治二院心血管内科再上“硬核新技术”——震波球囊术,解决患者心头顽疾



图片


  供  稿丨上党晚报

编  辑丨张静晗

审  核丨雷   赫

图片



[责任编辑:曹炜君]
呵护地球
鲁冰花

关于我们| 网站概况| 法律顾问| 服务条款| 人员查询| 广告服务| 供稿服务| 合作伙伴| 网站声明| 版权所有| 联系我们

有害短信息举报 抵制违法广告承诺书 阳光· 绿色网络工程 版权保护投诉指引 网络法制和道德教育基地 北京通信局 新闻信息服务许可证 互联网出版许可证

电话:010-63607677  邮箱:huaxunzx@163.com

备案号:京ICP备17046357号-1

Copyright© 2016 Huaxun.All Rights Reserved