华讯小记者声明

逆向导丝 绝处逢生——长治二院心血管内科成功开展逆向冠状动脉慢性完全闭塞病变介入手术

2022-09-20 21:41:05    来源:长治市第二人民医院订阅号    



近日

长治二院心血管内科团队

成功完成

一例高难度

逆向CTO(冠状动脉慢性完全闭塞病变)介入手术

该项技术的成功突破

标志着医院心血管内科

冠脉介入技术跃

上了一个新的台阶

......






病例分析


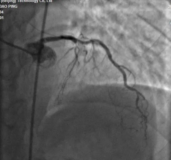
   患者张某,男,47岁。以“不稳定型心绞痛”收治入院。院前冠脉造影示:冠脉三支病变,前降支、回旋支CTO(冠状动脉出现了慢性闭塞)病变,6月前患者处理右冠病变,本次入院为处理前降支CTO(冠状动脉出现了慢性闭塞)病变。
   患者前降支动脉(LAD)近段为完全性闭塞病变,可见自右冠状动脉后降支(PD)经间隔支向前降支提供侧枝循环,考虑该处病变为慢性完全闭塞性病变(CTO)。经过北京安贞医院孙涛主任与冯翠萍主任心血管内科介入团队的充分讨论,结合患者病史、症状及体征,考虑介入策略选择逆向处理。双侧通路:右冠:右股动脉;左冠:左侧桡动脉。



手术现场


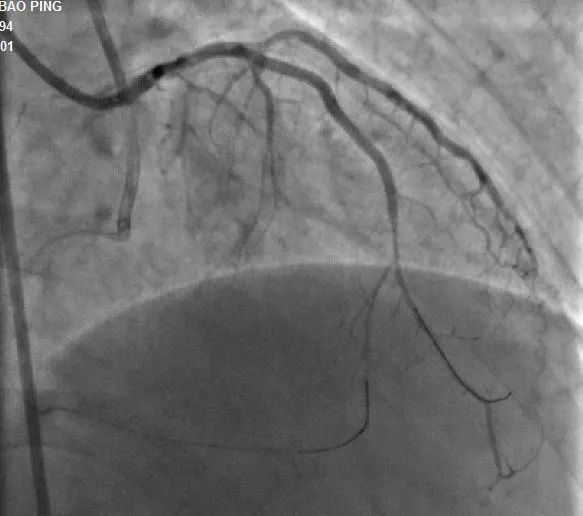
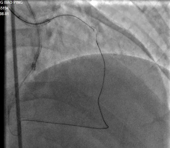
手术过程:7F LA1.0指引导管到位RCA开口,SionBlue(0.014”、0.5g)导丝送至后降支(PD3 )作为逆向导丝进入间隔支,以tip-injection技术进行间隔支超选择性造影,以明确逆向通路走形。逆行进入LAD中段,再次以tip-injection技术进行超选择性造影以明确LDA闭塞段以远情况,操纵导丝逆向行进至LAD中段闭塞段以远,尝试穿过闭塞段逆行到达LAD近段,推送逆向微导管通过闭塞段进入正向指引导管内,缓慢退出逆向系统至右冠内,逆向造影显示通路安全,撤出逆向系统。顺利预处理闭塞段病变后,于LAD近中段植入两枚支架,优化支架后,结果满意。



术前造影结果


▲术中逆向通道建立


▲前降支CTO顺利开通




  

本病例是长治二院首次开展的慢性完全闭塞性病变逆向介入治疗的病例,填补了慢性完全闭塞性病变逆向介入开通技术的空白。开创了长治二院逆向介入治疗慢性完全性闭塞病变的新时代,使我院跨入了逆向介入治疗的门槛,实现了从“0”到“1”的突破。心血管内科将以此为契机,力争赶上全国的心血管病中心慢闭逆向介入治疗的先进水平。




科室推荐





    长治市第二人民医院心血管内科成立于2011年1月,是长治市市级重点专科,是以临床药物治疗、心脏介入、心脏功能评估、心脏康复为主要手段,集临床、科研、教学、预防、康复为一体的综合性心血管专科。
心血管内科现有医护人员26人,其中硕士研究生4人、主任医师1人、副主任医师1人、主治医师6人、住院医师2人、副主任护师1人、主管护师3人、护师(士)8人。目前科室开放床位30张,重症监护病房(CCU)床位8张。科室能够诊治疾病有:冠心病、各种心律失常、心脏瓣膜病、心肌病、心肌炎、心力衰竭、高血压、肺栓塞、下肢静脉血栓等各类常见及疑难心血管疾病。常年开展常诊、急诊冠脉造影及支架植入术,各种心律失常的射频消融术,心脏起搏器植入术,先天性心脏病介入封堵术。
 心血管内科培养了一支专业技术过硬、团结进取、勇于创新的心血管疾病诊疗团队,全科医护人员以“医者仁心、救死扶伤”竭诚为广大心血管疾病患者提供最优质的医疗服务 


专家推荐



冯翠萍
心血管内科主任
主任医师
教授

    山西省心脏重症专业委员会常委、心律失常学组常委、介入学组常委。长治市心血管专业委员会、胸痛专业委员会及介入质控部副主任委员。

    心血管内科对常见疾病如冠心病、高血压病、心力衰竭、心律失常、血脂异常、心肌病以及心血管危急重症疾病等有独特的、精准的治疗方式。擅长于冠心病介入、心脏起搏器植入、心脏电生理检查及射频消融术。



咨询热线

长治二院心血管内科

0355—3126031


冯翠萍主任

18603550120


姬小飞副主任

15635585652


李晋创医生

13546516641



90岁老人的30年顽疾在长治二院普外二病区成功解决

■长治二院9月12日—9月18日门诊医师最新出诊信息

■“方寸”之间绽芳华——记市第二人民医院口腔科主任李灵芝

院报 | 长治二院(总第175期)版面一览
怀孕后,小心妊娠期糖尿病找上你


             供   稿丨冯翠萍 李晋创

    编   辑丨卞   晨

    审   雷   赫



[责任编辑:曹炜君]
呵护地球
鲁冰花

关于我们| 网站概况| 法律顾问| 服务条款| 人员查询| 广告服务| 供稿服务| 合作伙伴| 网站声明| 版权所有| 联系我们

有害短信息举报 抵制违法广告承诺书 阳光· 绿色网络工程 版权保护投诉指引 网络法制和道德教育基地 北京通信局 新闻信息服务许可证 互联网出版许可证

电话:010-63607677  邮箱:huaxunzx@163.com

备案号:京ICP备17046357号-1

Copyright© 2016 Huaxun.All Rights Reserved